AN ARTIST’S APPROACH
TO SMILE DESIGN





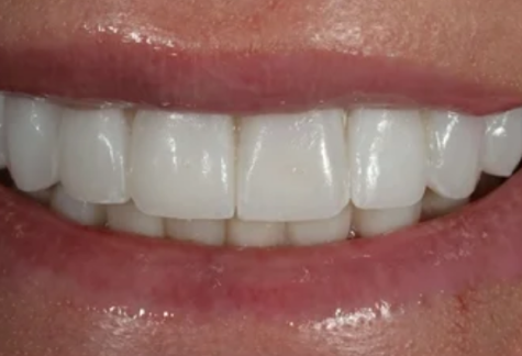
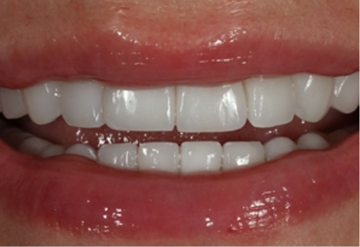
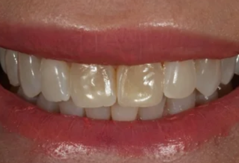
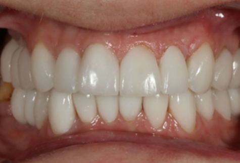
With over 20 years of master artistry and clinical craftsmanship, we don’t just fix teeth – we create unique smiles that reflect your individuality. Our proprietary Holistic Design Process considers your skin tone, natural coloring, and unique facial features to expertly enhance the lower third of your face. The result is a youthful, natural look that is exclusively yours.

Female Founder, Master Craftsmanship






















WORLD-RENOWNED EXPERTISE
Renowned for precision, artistry, and natural-looking results, our practice is trusted by discerning patients from around the world. From high-profile individuals to professionals seeking confidence in their everyday lives, we deliver smiles that are both stunning and authentically you.
Every treatment is thoughtfully customized, combining advanced cosmetic dentistry techniques with an artistic eye to ensure harmony, balance, and long-lasting beauty. Our commitment to excellence is reflected in every smile we create.









bespoke treatments
facial beauty &
rebalancing
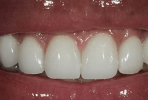
cosmetic dentistry
facial beauty &
rebalancing
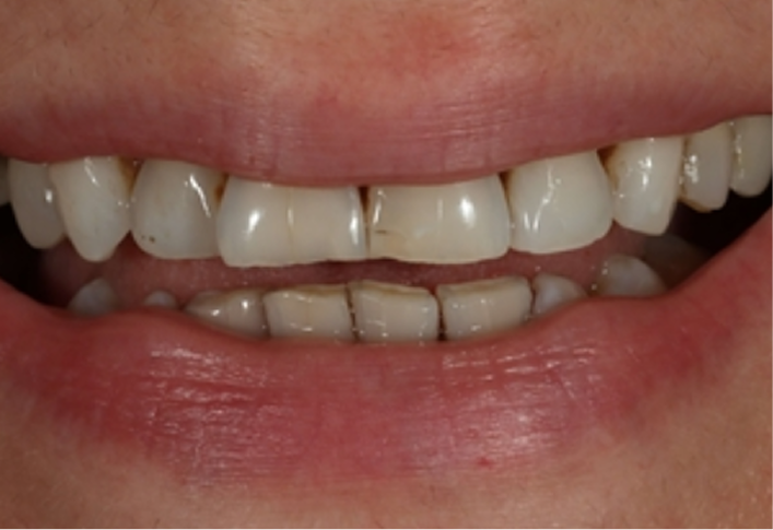
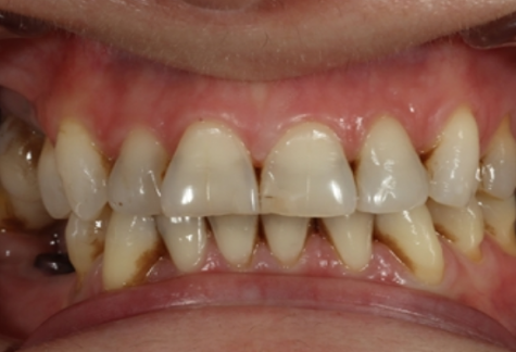
restorative dentistry
oral wellness
International Concierge Service

limited time

Book your complimentary consultation and receive an
AI-powered digital smile design.







WORLD-RENOWNED EXPERTISE
Renowned for precision, artistry, and natural-looking results, our practice is trusted by discerning patients from around the world. From high-profile individuals to professionals seeking confidence in their everyday lives, we deliver smiles that are both stunning and authentically you.
Every treatment is thoughtfully customized, combining advanced cosmetic dentistry techniques with an artistic eye to ensure harmony, balance, and long-lasting beauty. Our commitment to excellence is reflected in every smile we create.








The mouth
is the gateway to
health, beauty,
& confidence.
-dr v.
SIGNATURE SMILE METHOD
1,464 total reviews | 4.9 average rating

"Dr. V and her team are extraordinary. She's not only incredibly talented but genuinely caring. It shows in every detail of her work — and I always feel completely taken care of. 10/10."
— R.K.

"I spent months researching cosmetic dentists before finding this practice. Dr. V is the perfect mix of creative and artistic enough to build the perfect smile for each individual face, skilled enough to make the work painless, and warm enough to make appointments something I actually look forward to."
— D.B.

"Dr. Veytsman and her team were incredibly accommodating to my very tight timeline. I am more confident with my smile and no one can ever notice they are veneers — they look completely natural."
— I.B.

"Her professionalism and meticulous attention to detail are unmatched. Her warmth ensures you feel completely safe, and the flexibility to see her in both LA and NYC is invaluable. I now smile with newfound confidence."
— G.C.





get in touch with our team
Experience the Artistry
of Your Smile Design