Skip to content
about
Close about
Open about
Meet Dr. Veytsman
In The Media
Celebrity Dentistry
Ask Dr. Veytsman
Podcast
Meet Dr. Veytsman
In The Media
Celebrity Dentistry
Ask Dr. Veytsman
Podcast
reviews
gallery
services
Close services
Open services
F.A.C.E.S. by Dr. Victoria Veytsman
Veneers & Smile Design
Cosmetic Dentistry
Facial Beauty & Rebalancing
Oral Wellness
Veneers & Smile Design
Porcelain Veneers
Minimal Prep Veneers
Smile Design
Smile Makeover
Bridal Makeover
Porcelain Veneers
Minimal Prep Veneers
Smile Design
Smile Makeover
Bridal Makeover
Cosmetic Dentistry
Cosmetic Dentistry Overview
Cosmetic Bonding
Dental Facelift
Teeth Whitening
Invisalign & Orthodontics
Dental Bonding & Contouring
Implants & Crowns
Tooth Colored Fillings
IV Sedation
Cosmetic Dentistry Overview
Cosmetic Bonding
Dental Facelift
Teeth Whitening
Invisalign & Orthodontics
Dental Bonding & Contouring
Implants & Crowns
Tooth Colored Fillings
IV Sedation
Facial Beauty & Rebalancing
Facial Beauty And Rebalancing Overview
Botox
Dermal Fillers
Facial Balancing
Facial Firming Technology
Jawline Contouring
Lip Enhancement
Redlight Therapy
Skin Rejuvenation & Hydration
Facial Beauty And Rebalancing Overview
Botox
Dermal Fillers
Facial Balancing
Facial Firming Technology
Jawline Contouring
Lip Enhancement
Redlight Therapy
Skin Rejuvenation & Hydration
Oral Wellness
Oral Wellness Overview
Digital X-Rays
Oral Cancer Screening
Oral Wellness Scan
Red Light Therapy
Salivary Microbiome
Oral Wellness Overview
Digital X-Rays
Oral Cancer Screening
Oral Wellness Scan
Red Light Therapy
Salivary Microbiome
Traveling Patients
Close Traveling Patients
Open Traveling Patients
Visiting NYC
Visiting Beverly Hills
Visiting NYC
Visiting Beverly Hills
Financing
212-759-6700
request appointment
212-759-6700
request appointment
Before and After
Gallery
Cosmetic Dentistry
Anti-Aging Dentofacial Lift
Bridal Makeover
Invisalign®
Minimal Prep Veneers
Porcelain Veneers
Smile Design
Dental Crowns
Chipped Teeth
Crooked Teeth
Dental Bonding and Contouring
Tooth-Colored Fillings
Implant Dentistry
Dental Crowns
Restorative Dentistry
Chipped Teeth
Crooked Teeth
Dental Bonding and Contouring
Tooth-Colored Fillings
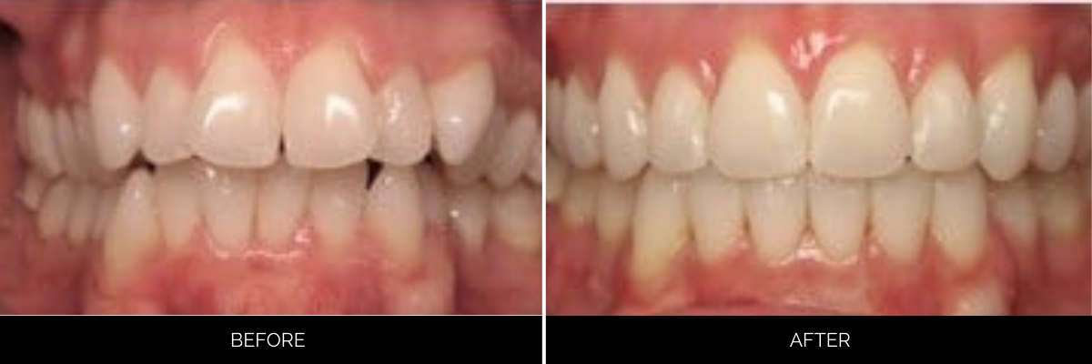
Bridal Makeover – Case 22
Gender: Female
View Case
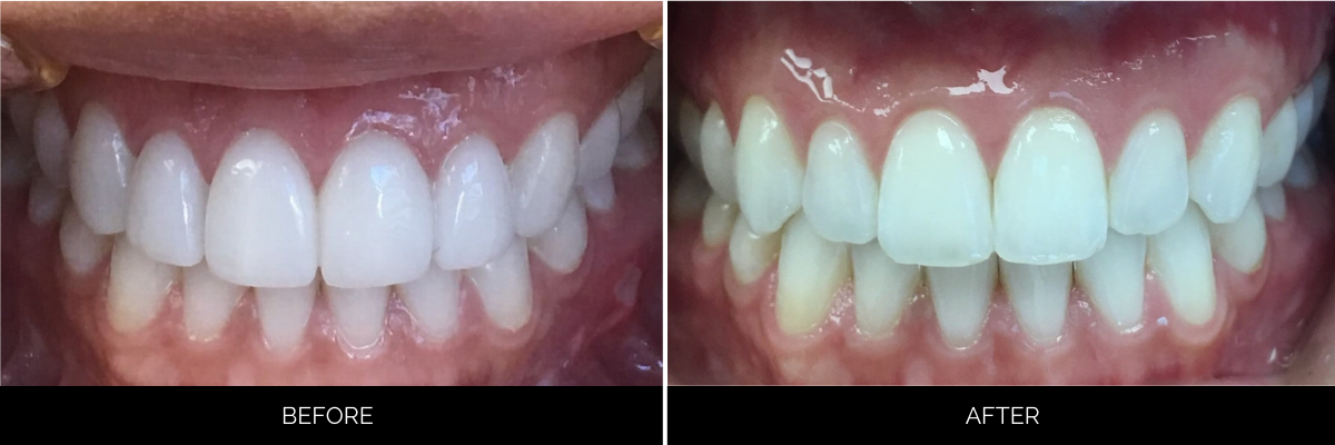
Bridal Makeover – Case 21
Gender: Female
View Case
Bridal Makeover – Case 20
Gender: Female
View Case
Bridal Makeover – Case 19
Gender: Female
View Case
Bridal Makeover – Case 18
Gender: Female
View Case
Bridal Makeover – Case 17
Gender: Female
View Case
Bridal Makeover – Case 16
Gender: Female
View Case
Bridal Makeover – Case 15
Gender: Female
View Case
Bridal Makeover – Case 14
Gender: Female
View Case
Bridal Makeover – Case 13
Gender: Female
View Case
About
Meet Dr. Veytsman
In The Media
Celebrity Dentistry
Ask Dr. Veytsman
Podcast
Meet Dr. Veytsman
In The Media
Celebrity Dentistry
Ask Dr. Veytsman
Podcast
Reviews
Gallery
Reviews
Gallery
Services
F.A.C.E.S. by Dr. Victoria Veytsman
F.A.C.E.S. by Dr. Victoria Veytsman
Veneers & Smile Design
Porcelain Veneers
Minimal Prep Veneers
Smile Design
Smile Makeover
Bridal Makeover
Porcelain Veneers
Minimal Prep Veneers
Smile Design
Smile Makeover
Bridal Makeover
Cosmetic Dentistry
Cosmetic Dentistry Overview
Cosmetic Bonding
Dental Facelift
Teeth Whitening
Invisalign & Orthodontics
Dental Bonding & Contouring
Implants & Crowns
Tooth Colored Fillings
IV Sedation
Cosmetic Dentistry Overview
Cosmetic Bonding
Dental Facelift
Teeth Whitening
Invisalign & Orthodontics
Dental Bonding & Contouring
Implants & Crowns
Tooth Colored Fillings
IV Sedation
Veneers & Smile Design
Minimal Prep Veneers
Porcelain Veneers
Smile Design
Bridal Makeover
Minimal Prep Veneers
Porcelain Veneers
Smile Design
Bridal Makeover
Facial Beauty & Rebalancing
Facial Beauty And Rebalancing Overview
Botox
Dermal Fillers
Facial Balancing
Facial Firming Technology
Jawline Contouring
Lip Enhancement
Redlight Therapy
Skin Rejuvenation & Hydration
Facial Beauty And Rebalancing Overview
Botox
Dermal Fillers
Facial Balancing
Facial Firming Technology
Jawline Contouring
Lip Enhancement
Redlight Therapy
Skin Rejuvenation & Hydration
Oral Wellness
Oral Wellness Overview
Digital X-Rays
Oral Cancer Screening
Oral Wellness Scan
Red Light Therapy
Salivary Microbiome
Oral Wellness Overview
Digital X-Rays
Oral Cancer Screening
Oral Wellness Scan
Red Light Therapy
Salivary Microbiome
Traveling Patients
Visiting NYC
Visiting Beverly Hills
Visiting NYC
Visiting Beverly Hills
Financing
Financing
212-759-6700
request appointment